Une facette dentaire, pour masquer vos imperfections
Source photo: https://www.clinique-espoir-tunisie.com/facette-dentaire-tunisie.php
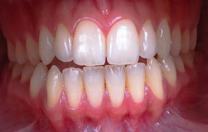
La facette dentaire est une pellicule ultrafine posée sur la face visible de la dent, afin d’en masquer les imperfections. Faite de céramique ou en matériau composite, elle vient camoufler une dent abîmée, mal alignée, dont la forme est irrégulière ou dont la couleur est disgracieuse. Ainsi, la facette remplacera parfois un blanchiment des dents, ou pourra se substituer au traitement orthodontique pour vous redonner un sourire éclatant.
Une pose en douceur
La pose d’une facette dentaire nécessite une grande précision de geste. Elle est donc généralement effectuée sous anesthésie locale afin de s’assurer de l’immobilité totale du patient pendant toute la durée de l’opération. Celle-ci est toutefois beaucoup moins lourde que la pose d’un bridge ou d’un implant dentaire. Elle est également bien plus rapide. Mais la pose de plusieurs facettes dentaires peut durer une à deux heures.

Source: https://lc.cx/cRNM
L’intervention ne se déroule qu’une fois que les radios ont été étudiées par le chirurgien-dentiste. Celui-ci taille la dent et en gratte un peu l’émail, pour favoriser l’adhérence de la colle. Une empreinte de la dent est réalisée, pour servir de base à la conception de la facette. Celle-ci ne sera posée que deux à trois semaines plus tard, avec du ciment dentaire. Dans l’attente, le dentiste posera une facette temporaire.
Plusieurs facettes, plusieurs prix
Le prix de la facette dentaire dépend de sa qualité. Il est fonction du matériau choisi. Le coût d’une facette céramique se situe entre 500 et 1000 euros. Celui d’une facette en composite varie plutôt entre 150 et 350 euros. Il peut être dégressif s’il y a plusieurs facettes à poser.
Le régime de base de l’assurance maladie ne rembourse pas les facettes dentaires. Mais renseignez-vous auprès de votre mutuelle complémentaire : peut-être la prend-elle en charge !

Article Précédent
Article Suivant
Commentaires récents